ΡΟΜΠΟΤΙΚΗ ΧΕΙΡΟΥΡΓΙΚΗ - ΓΟΝΑΤΟ
Η ρομποτική χειρουργική γόνατος εξασφαλίζει ακρίβεια εκετέλεσης και τοποθέτησης των εμφυτευμάτων στα σημεία που υπάρχει η φθορά του χόνδρου (οστεοαρθρίτιδα) χωρίς να επηρεάζει τα συνδεσμικά στοιχεία ενώ δεν χρειάζεται μετάγγιση αίματος και η αποκατάσταση στην βάδιση είναι άμεση. Η νοσηλεία στο νοσοκομείο περιοριζεται σε μία έως δύο ημέρες. Η ακρίβεια της τεχνικής καθορίζεται απο την ειδική προεγχειρητική εξέταση που αναπαράγει την τρισδιάστατη μορφολογία του σκέλους, την καταγραφή στον υπολογιστή και την αναμετάδοση αλλά και σύγχρονη εκτέλεση της επέμβασης απο το ρομπότ με τα δεδομένα του υπολογιστή υπο την πλήρη καθοδήγηση του χειρουργού.
Πλεονεκτήματα:
- Λιγότερος πόνος
- Ελάχιστη επεμβατική τεχνική
- Δεν χρειάζεται μετάγγιση αίματος
- Ελάχιστη εκτομή οστού
- Ακρίβεια τοποθέτησης εμφυτευμάτων
- Καλύτερο εύρος κίνησης που βελτιώνεται μέχρι 2-3 εβδομάδες μετά την επέμβαση.
- Μικρή νοσηλεία (παραμονή μία έως δύο ημέρες).
![]() |
![]() |
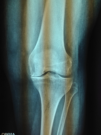
| Οστεοαρθρίτιδα γόνατος (προεγχειριτική) | Οστεοαρθρίτιδα γόνατος (μετεγχειριτική) |




